Scienze - Palazzina 1 - Primo Piano
Responsabile Prof. Paolo Mariani
- Attività di ricerca
-
Le attività scientifiche svolte nel Laboratorio di Biofisica Molecolare riguardano principalmente la caratterizzazione delle strutture nanometriche formate da macromolecole biologiche in soluzioni acquose. A queste tematiche si affiancano più recentemente quelle inerenti all’utilizzo di materiali e tecniche fisiche innovative da applicare alla conservazione dei beni culturali.
Le tecniche sperimentali maggiormente utilizzate dal Laboratorio di Biofisica Molecolare, soprattutto attraverso approcci innovativi per l'analisi dei dati, sono la diffusione a piccolo angolo (small-angle scattering, SAS) dei raggi X (SAXS) e dei neutroni (SANS) e la diffrazione dei raggi X (XRD). Tali misure vengono svolte presso le grandi infrastrutture di ricerca nazionali e internazionali: sincrotroni (SAXS) e sorgenti neutroniche (SANS).
Altre tecniche impiegate sono: la diffusione dinamica della luce (DLS), la calorimetria differenziale a scansione (DSC), la spettroscopia di assorbimento e di fluorescenza, la spettroscopia infrarossa a trasformata di Fourier (FTIR), la spettroscopia Raman, la microscopia a forza atomica (AFM), la reologia, la microscopia ottica a contrasto di fase e la gravimetria con microbilancia al quarzo.
Principali linee di ricerca
Le principali tematiche di ricerca del gruppo comprendono:
- i meccanismi di autoassemblaggio delle guanosine e dei loro derivati;
- la struttura e la stabilità delle fasi lipidiche;
- la struttura, la stabilità, le interazioni e i processi di aggregazione di proteine in soluzione.
- Autoassemblaggio della guanosina
-
Nell’ambito di questa linea di ricerca, vengono analizzati i processi di self-assembling della guanosina (GMP) e di alcuni dei sui derivati (anche lipofili), che portano alla formazione di macroaggregati elicoidali a quattro filamenti (quadruplexes) e le modalità di aggregazione di dsDNA e ssDNA a corta catena, parzialmente complementari e perciò capaci di dare origine a nanostars con differente valenza. Questi sistemi sono oggetto di un intenso lavoro teorico e sperimentale, che riguarda:
• le proprietà strutturali delle quadrieliche;
• i contributi termodinamici che ne determinano lunghezza e stabilità;
• il meccanismo gerarchico di auto-assemblaggio in soluzione diluita;
• lo switching strutturale tra nanoribbons e nanowires osservato in solventi organici in presenza e assenza di controioni;
• il meccanismo con cui viene trasmesso l’ordine a lungo raggio;
• la formazione di fasi liotropiche liquido-cristalline;
• la propagazione della chiralità;
• la condensazione promossa in soluzione acquosa da controioni;
la separazione di fase in osmoliti e la formazione di hydrogels.
È importante osservare che, da un punto di vista biologico, la formazione dei quadruplessi può essere messa in relazione con certe proprietà biofisiche della cromatina, con il meccanismo d'azione della telomerasi e di alcuni farmaci antitumorali e addirittura con l'origine prebiotica della molecola di DNA.
Responsabile della ricerca: Paolo Mariani



- Idrogel di guanosine
-
Questa linea di ricerca è incentrata sullo studio di un sistema di G-quadruplexes formati da miscele di guanosina (GMP) e guanina (Gua), una molecola con la stessa base azotata della GMP. Le strutture elicoidali che si auto-assemblano tramite il meccanismo di π-stacking interagiscono in modo mediamente più attrattivo rispetto alle strutture formate da campioni contenenti soltanto GMP, in quanto le molecole Gua sono prive di carica. La presenza di stabili interazioni elica-elica porta quindi alla formazione di un idrogel fisico, con una complessa architettura supramolecolare.
Tecniche come microscopia a forza atomica (AFM), microscopia elettronica a scansione (SEM), spettroscopia UV-Vis, SAXS e SANS sono molto utili per la caratterizzazione strutturale di questo idrogel. È possibile, ad esempio, studiare come cambiano le proprietà chimico-fisiche del sistema auto-assemblato, in funzione del rapporto stechiometrico GMP:Gua nella miscela.
Un'altra importante parte della ricerca riguarda lo studio delle applicazioni biotecnologiche in cui il G-idrogel potrebbe essere implicato. È noto che sistemi simili vengono utilizzati nel campo dell'ingegneria tissutale sia come bioinchiostri per la crescita cellulare sia per la rigenerazione cutanea, nel settore farmaceutico come veicolanti di farmaci e anche in altri settori.
Attualmente, nel Laboratorio di Biofisica Molecolare si stanno studiando tre possibili applicazioni:
studio della diffusione di molecole fluorescenti inglobate all'interno di G-idrogel per valutarne le proprietà dinamiche;
impiego di G-idrogel come bioinchiostro per creare uno scaffold per la crescita di organoidi;
utilizzo di G-idrogel (e derivati) come filtri molecolari per applicazioni di interesse ambientale.Responsabili della ricerca: Paolo Mariani e Francesca Ripanti




- Struttura e stabilità di fasi lipidiche
-
Nel caso di sistemi lipidici, gli aspetti che vengono maggiormente considerati riguardano:
• la caratterizzazione strutturale delle fasi liotropiche e del polimorfismo lipidico in funzione di differenti parametri sperimentali (quali, ad esempio, composizione, temperatura, pressione meccanica, presenza di controioni, pH, solventi organici);
• l'analisi dei meccanismi di accrescimento e di trasformazione degli aggregati macromolecolari;
• lo studio della stabilità delle diverse fasi e degli aggregati stessi (basati sull'analisi dei differenti contributi energetici e molecolari che ne determinano la stabilità);
• lo studio delle proprietà di idratazione e le possibili implicazioni biologiche legate alla capacità di autoaggregazione e al comportamento polimorfico (con particolare riferimento alle fasi lipidiche non-lamellari);
• i difetti nelle membrane modello dovuti alla formazione spontanea di pori d'acqua o alla presenza di proteine di membrana studiati analizzando i dati SAXS con innovativi modelli basati sulla possibile presenza di correlazioni orizzontali tra questi difetti.
Recentemente, questa linea di ricerca si è sempre di più focalizzata sul problema del drug delivery, studiando le proprietà strutturali e la stabilità termica e relativa alla composizione di nanoparticelle lipidiche da utilizzare come carriers stabili e biocompatibili per differenti tipi di farmaci.
Le attività di ricerca riguardano in particolare le solid-lipid nanoparticles, i cubosomi (ottenuti per sonicazione dopo aggiunta di opportuni tensioattivi dalle fasi cubiche di monogliceridi) e gli esosomi (anche questi ottenuti per sonicazione da fasi esagonali lipidiche in presenza di opportuni tensioattivi).
Responsabile della ricerca: Francesco Spinozzi



- Vescicole unilamellari giganti
-
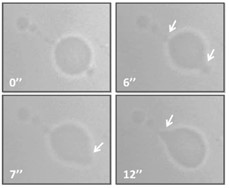
Le Giant Unilamellar Vesicles (GUV) sono vescicole lipidiche unilamellari con dimensioni paragonabili a quelle della cellula (diametro di 1-100 μm) e che possono essere visualizzate mediante microscopia ottica. Le GUV costituiscono uno strumento estremamente utile e versatile per lo studio in vitro delle proprietà di membrane lipidiche e della loro interazione con macromolecole biologiche, dato che è possibile riprodurre, variando la composizione lipidica e inserendo componenti specifici (come colesterolo e proteine), le caratteristiche principali della membrana plasmatica.
Presso il Laboratorio di Biofisica Molecolare sono stati ottimizzati protocolli diversi per la produzione delle GUV, sia sfruttando l’elettroformazione che la formazione assistita da gel. È disponibile un sistema ottico (telecamera e macchina fotografica digitale) per la registrazione delle immagini ottenute al microscopio polarizzatore.
Attualmente, l'attività di ricerca riguarda le caratteristiche di stabilità termica ed osmotica delle GUV e il loro comportamento al variare delle condizioni chimico-fisiche, come:
• la composizione lipidica e la temperatura;
• le interazioni con biosurfattanti (mono- e di-ramnolipidi);
• le interazioni con proteine native e fibrillate.Stiamo anche studiando la possibilità di utilizzare le GUV come sistemi duali per il rilascio controllato di farmaci, iniziando dalla possibilità di internalizzare piccole molecole.
Responsabile della ricerca: Francesco Spinozzi





- Proteine in soluzione: struttura, stabilità, aggregazione e interazioni
-
Questa linea di ricerca riguarda sia proteine modello, la cui struttura atomica è nota, sia proteine non ancora cristallizzate o in condizioni non native. Nel nostro gruppo di ricerca utilizziamo prevalentemente tecniche di diffusione a piccolo angolo dei raggi X e dei neutroni (SAXS e SANS) con cui determiniamo le seguenti proprietà:
• ricostruzione della forma di proteine;
• interazione tra proteine in soluzione;
• proprietà strutturali di proteine sottoposte a pressione meccanica;
• proprietà di aggregazione delle proteine in soluzione (da amiloidi a LLPS);
• predizione di strutture di proteine mediante SAS;
• metodi variazionali di tipo bayesiano per lo studio di proteine intrinsecamente disordinate.
In tali studi sono state sviluppate strategie innovative per l'analisi dei dati, che consentono di ottenere informazioni strutturali e termodinamiche più dettagliate rispetto a quelle fornite dagli approcci tradizionali.
I metodi sviluppati, principalmente basati su approcci di global fitting, sono stati raccolti in una suite di programmi shareware: GENFIT, SASMOL (scaricabili dal sito https://sites.google.com/site/genfitweb/), QUAFIT, VBWSAS, MPOLE e GRAFIT (disponibili su richiesta a e-mail).
Nell'ultimo decennio i nostri interessi si sono focalizzati su proteine legate a patologie neurodegenerative, a malattie rare, a fenomeni di coagulazione del sangue, e intrinsicamente disordinate. Abbiamo sviluppato nuovi metodi per studiare le proprietà delle proteine intrinsecamente disordinate (IDP) combinando misure SAXS o SANS con insiemi conformazionali determinati da tecniche Molecular Dynamics o Monte Carlo. Stiamo sviluppando in partnership con alcune facilities europee strategie per lo studio di processi coagulativi in vitro tramite l’uso di circuiti microfluidici.
Responsabili della ricerca: Maria Grazia Ortore e Francesco Spinozzi


- Conservazione dei beni culturali
-
Le conoscenze di tecniche fisiche avanzate e di particolari ambiti della materia condensata sono utilizzate allo scopo di migliorare i metodi di indagine e di conservazione di materiali di interesse nei beni culturali. Attualmente abbiamo due progetti scientifici in corso, uno su materiali lignei ed uno sulla carta:
• MATERIALI LIGNEI: in collaborazione con il laboratorio ARC-Nucléart (Grenoble, Francia), specializzato nella conservazione del patrimonio culturale, con la sorgente neutronica ILL (Grenoble, Francia) e con l’Università degli Studi dell’Aquila, studiamo la conservazione dei manufatti lignei archeologici, in particolare dei relitti navali di epoca romana. La degradazione del legno antico viene analizzata mediante tecniche fisiche convenzionali (microscopia elettronica a scansione - SEM, diffrazione a raggi X - XRD, spettroscopia infrarossa - IR e spettroscopia Raman) e tecniche neutroniche avanzate (diffrazione neutronica - ND e imaging a trasmissione per risonanza neutronica - NRTI). L’obiettivo della ricerca è valutare l’efficacia di trattamenti curativi e preventivi basati sull’impiego di nanoparticelle di idrossido di calcio (CH-NPs), capaci di deacidificare le fibre lignee e creare una riserva protettiva che previene ulteriori processi di degrado.
Legno da una tavola della nave d’Olonne. La datazione al radiocarbonio ha stimato che questo campione abbia circa 2000 anni.• CARTA: Stiamo sviluppando degli idrogel, in collaborazione con il gruppo di ricerca della Dott.ssa Amina Antonacci del CNR, per la conservazione e la riparazione della carta, a partire da estratti di microalghe di diversa specie. Vengono valutate sia le caratteristiche biochimiche, strutturali e meccaniche degli idrogel, sia quelle della carta antica trattata. La ricerca ha come scopo un’innovazione sostenibile ed ecologica dei processi per la conservazione dei beni culturali. Con lo stesso obiettivo, stiamo utilizzando anche l'idrogel di guanosina per il trattamento di carte di interesse per i beni culturali, sfruttando la proprietà del gel di penetrare all'interno della carta e di stabilizzarne la struttura tridimensionale.
Responsabili della ricerca: Francesco Spinozzi e Maria Grazia Ortore - Applicazione di spettroscopia FTIR e spettroscopia Raman a sistemi fisici, chimici e biologici
-
Le spettroscopie infrarossa e Raman sono tecniche vibrazionali che permettono di studiare la composizione chimica di un campione sfruttando i modi vibrazionali specifici di ogni legame chimico. Tramite queste tecniche, anche accoppiate a un microscopio ottico (per cui si parla di microspettroscopie FTIR e Raman), si può ottenere la fingerprint del campione in esame in maniera oggettiva e rapida. I campi di applicazione di queste tecniche sono innumerevoli e quelli a cui ci dedichiamo attualmente includono:
• valutazione delle proprietà chimico-fisiche di nuovi composti/sistemi bioattivi per mettere a punto il loro design e la loro veicolazione;
• studio di interazioni drug/cell per la valutazione delle modificazioni biochimiche indotte dall'azione del composto in studio e/o per tracciare la sua localizzazione a livello subcellulare;
• caratterizzazione chimico-fisica dell'organizzazione strutturale e caratteristiche chimiche dei G-idrogel e studio dell’interazione con piccole molecole.Inoltre, le spettroscopie vibrazionali risultano particolarmente utili per lo studio di sistemi di interesse nei beni culturali.
Responsabile della ricerca: Francesca Ripanti
Principali progetti di ricerca in corso
Progetti PNRR, sotto la responsabilità di Paolo Mariani. Il primo, VITALITY, è inerente l'Ecosistema Innovazione, digitalizzazione e sostenibilità per l'economia diffusa nel Centro Italia e riguarda lo studio di materiali bio-nanostrutturati auto-assemblanti. Il secondo, National Biodiversity Future Center, è focalizzato allo sviluppo di sensori capaci di rivelare quantità davvero esigue di nuovi inquinanti.
Progetto PRIN2022, sotto la responsabilità di Maria Grazia Ortore, è inerente lo sviluppo e la caratterizzazione di sistemi per veicolare principi attivi naturali ad uso topico, per contrastare gli effetti negativi dell’inquinamento.
- Strumentazione di laboratorio
-
Strumentazione di Laboratorio:
• Zetasizer Malvern per Dynamic Light Scattering
• Spettrometro di assorbimento UV-Vis, Shimadzu UV – VIS Spectrophotometer UV – 1900i
• Spettrometro a fluorescenza, Shimadzu Spectrofluorophotometer RF-6000
• Microscopio a Forza Atomica, AIST-NT’s, Horiba Scientific
• Reometro, Anton Paar, MCR 702
• Stampante 3D 3D Bioprinter Cellink BIO X
• Quartz Crystal Microbalance, Novatech
• Microscopio a luce polarizzata Leitz Ortolux con controllo di temperatura e telecamera digitale
• Microscopio a contrasto di fase Leica DMLSAltra strumentazione accessoria:
• Centrifuga Hermle Z200A per falcon - completo di rotore
• Microcentrifuga ALC 4214
• Bilancia analitica Mettler AE163
• Sistemi per elettroforesi BioRAD
• Vaschetta ultrasuoni Bransonic
• Microscopio stereo Zeiss
• SpeedVAC per concentrazione/evaporazione
• Produttore acqua distillata USF PureLab, Steroglass
• Incubatore refrigerato Generalcontrol
• Scanner per image plates, DENOPTIX
• Generatore Philips DY673 con monocromatore e camera di Guiner con Image Plate
• Generatore Ital-Structures C3K5 con monocromatore e camera di Guinier con Image Plate Macchina fotografica digitale Nikon D5100
• Liofilizzatore Edwards
• Sistema per elettroporazione e cellule con elettrodi
- Pubblicazioni 2016-2025
-
1. Pula, W., Pepe, A., Ferrara, F., Bondi, A., Mariani, P., Ortore, M. G., Pecorelli, A., Ivarsson, J., Valacchi, G. Esposito, E. In situ forming gels as subcutaneous delivery systems of curcumin and piperine (2025) Scientific Reports, 15(1), 3046, https://doi.org/10.1038/s41598-025-87750-w OPEN ACCESS
2. Khan, A., Moretti, P., Notarstefano, V., Mariani, P., Mahmoudi, N., King, S., Manna, G., Vita, F., Francescangeli, O., Fanelli, M., Illuminati, S., Ripanti, F., Spinozzi, F. Small-angle scattering characterization of magnetosomes from Magnetospirillum gryphiswaldense MSR-1 (2025) Colloids and Surfaces B: Biointerfaces, 114833, https://doi.org/10.1016/j.colsurfb.2025.114833 OPEN ACCESS
3. Minnelli, C., Spinozzi, F., Moretti, P., Mobbili, G., Romagnoli, E., Pavoni, E., Mohebbi, E., Romaldi, B., Armeni, T., Stipa, P., Laudadio, E. Tunable assembly of mixed PLGA-lipid nanoparticles via monoolein with improved reactive oxygen species cell protection (2025) Colloids and Surfaces A: Physicochemical and Engineering Aspects, 718, 136864, https://doi.org/10.1016/j.colsurfa.2025.136864 OPEN ACCESS
4. Mercorelli, B., Bazzacco, A., Eleuteri, M., Di Cristofano, S., Desantis, J., Paciaroni, A., Ortore, M.G., Tuci, S., Spinozzi, F., Raimondo, D., Goracci, L., Cruciani, G. Loregian, A. Novel SARS-CoV-2 allosteric inhibitors that destabilize the Main Protease Mpro dimer (2025) International Journal of Biological Macromolecules, 145162, https://doi.org/10.1016/j.ijbiomac.2025.145162 OPEN ACCESS
5. Longo, L., Randazzo, L., Bollati, M., Carrotta, R., Costa, M. A., De Rosa, M., Mangione, M. R., Martorana, V., Culletta, G., Tutone, M., Mari, E., Ortore, M. G., Garcia-Franco, P. M., Velazquez-Campoy, A., Passantino, R., Vilasi, S. Missense mutations in MMACHC protein from cblC disease affect its conformational stability and vitamin B12-binding activity: The example of R161Q mutation (2025) Molecular Genetics and Metabolism, 109150, https://doi.org/10.1016/j.ymgme.2025.109150 OPEN ACCESS
6. Esposito, E., Dzyhovski, V., Santamaria, F., Contado, C., Brenna, C., Neri, L. M., Secchiero, P., Spinozzi, F., Pepe, A., Rawski M., Ortore, M. G., Mariani, P., Galvan, A., Calderan, L., Malatesta, M. Nanovesicles and Human Skin Interaction: A Comparative Ex-Vivo Study (2025) Nanomaterials, 15(12), 937, https://doi.org/10.3390/nano15120937 OPEN ACCESS
7. Carrotta, R., Vilasi, S., Costa, M. A., Librizzi, F., Martorana, V., Passantino, R., Buzzanca, C., Di Stefano, V., Ortore, M. G., Piccirillo, S., Preziuso, A., Magi, S., Mangione, M. R. Moringa oleifera Extracts as Strategic Phyto‐Therapy for Alzheimer's Disease (2025) Food Science & Nutrition, 13(4), e70007, https://doi.org/10.1002/fsn3.70007 OPEN ACCESS
8. Steffè, A., Milano, F., Reyes, S. G., Buco, F., Leonetti, R., Roque-Diaz, Y., Zuffi, S., Di Gianvincenzo, P., Cortese, A. R., Ritacco, H., Andreozzi, P., Ortore, M. G., Moya, S. E., Marradi, M. Supramolecular dextran/polyamine phosphate nanocapsules with smart responsiveness for encapsulation of therapeutics (2025) Journal of Colloid and Interface Science, 683, 620-630, https://doi.org/10.1016/j.jcis.2024.12.074 OPEN ACCESS
9. Pepe, A., Moretti, P., Mariani, P., Notarstefano, V., Ripanti, F. Transport Properties of Self-Assembling G-Hydrogels: Evidence for a Tunable Fickian Diffusivity (2025) The Journal of Physical Chemistry B, 129(21), 5136-5149, https://doi.org/10.1021/acs.jpcb.5c00564 OPEN ACCESS
10. Notarstefano, V., Santoni, C., Montanari, E., Busardo, F. P., Montana, A., Orilisi, G., Mariani, P., Giorgini, E. A new approach to assess post-mortem interval: A machine learning-assisted label-free ATR-FTIR analysis of human vitreous humor (2025) Spectrochimica Acta Part A: Molecular and Biomolecular Spectroscopy, 327, 125326, https://doi.org/10.1016/j.saa.2024.125326 OPEN ACCESS
11. Battisti, A., Ortore, M. G., Vilasi, S., Sgarbossa, A. FLIM-Phasor Analysis (FLIM-ϕ) of Aβ-Induced Membrane Order Alterations: Towards a Cell-Based Biosensor for Early Alzheimer’s Disease Diagnosis (2025) Micromachines, 16(2), 234, https://doi.org/10.3390/mi16020234 OPEN ACCESS
12. Bondi, A., Pula, W., Benedusi, M., Trinchera, G., Baldisserotto, A., Manfredini, S., Ortore, M. G., Pepe, A., Mariani, P., Stuart, M. C. A., Valacchi, G., Esposito, E. Gossypin-Loaded Ethosome Gel for Cutaneous Administration: A Preliminary Study on Melanoma Cells (2025) Antioxidants, 14(2), 186, https://doi.org/10.3390/antiox14020186 OPEN ACCESS
13. Notarstefano, V., Pepe, A., Ripanti, F., Piccirilli, F., Vaccari, L., Mariani, P. Guanosine hydrogels in focus: A comprehensive analysis through mid-infrared spectroscopy (2025) Spectrochimica Acta Part A: Molecular and Biomolecular Spectroscopy, 324, 124939, https://doi.org/10.1016/j.saa.2024.124939 OPEN ACCESS
14. Mari, E., Vilasi, S., Moretti, P., Mangione, M. R., Giorgini, G., Galeazzi, R., Ortore, M. G. Saponins Effect on Human Insulin Amyloid Aggregation (2024) Biomolecules, 15(1), 40, https://doi.org/10.3390/biom15010040 OPEN ACCESS
15. Longo, L., Costa, M. A., Carrotta, R., Mangione, M. R., Martorana, V., Tutone, M., Ortore, M. G., Garcia-Franco, P. M., Vega, S., Velazquez-Campoy, A., Passantino, R., Vilasi, S. Modulation of conformational features and oligomerization of MMACHC by cobalamin variants: impact of the R161Q mutation in cblC disease (2025) European Biophysics Journal, 1-12, https://doi.org/10.1007/s00249-025-01777-5 OPEN ACCESS
16. Piccirilli, F., Vondracek, H., Silvestrini, L., Parisse, P., Spinozzi, F., Vaccari, L., Toma, A., Aglieri, V., Casalis, L., Palumbo Piccionello, A., Mariani, P., Birarda, G., Ortore, M. G. Dimeric and monomeric conformation of SARS-CoV-2 main protease: New technical approaches based on IR radiation (2024) Spectrochimica Acta Part A: Molecular and Biomolecular Spectroscopy, 322, 124772, https://doi.org/10.1016/j.saa.2024.124772 OPEN ACCESS
17. Sabbatini, G., Mari, E., Ortore, M. G., Di Gregorio, A., Fattorini, D., Di Carlo, M., Galeazzi, R., Vignaroli, C., Simoni, S., Giorgini, G., Guarrasi, V., Chiancone, B., Leto, L., Cirlini, M., Del Vecchio, L., Mangione, M. R., Vilasi, S., Minnelli, C., Mobbili, G. Hop leaves: From waste to a valuable source of bioactive compounds–A multidisciplinary approach to investigating potential applications (2024) Heliyon, 10(18), https://doi.org/10.1016/j.heliyon.2024.e37593 OPEN ACCESS
18. Bondi, A., Ferrara, F., Pula, W., Mariani, P., Pepe, A., Drechsler, M., Montesi, L., Manfredini, S., Valacchi, G., Esposito, E. Spongosome-based co-delivery of curcumin and Piperine: A novel strategy for mitigating pollution-induced skin damage (2024) Colloid and Interface Science Communications, 63, 100811, https://doi.org/10.1016/j.colcom.2024.100811 OPEN ACCESS
19. Puxeddu, M., Donalisio, M., Bugert, J. J., Corona, A., Cocomazzi, P., Milani, M., Hucke, F., Arduino, I., Esposito, F., Moretti, P., Ortore, M. G., Nalli, M., Manetto, S., Mazzoccanti, G., Bigogno, C., Dondio, G., Sciò, P.., Coluccia, A., Fracella, M., Antonelli, G., Lembo, D., Tramontano, E., Silvestri, R., Mastrangelo, E., La Regina, G. 4-(3-Phenylsulfonylindol-2-yl)-1-(pyridin-2-yl) piperazinyl-methanones as Potent Inhibitors of both SARS-CoV-2 and HCoV-OC43 Viruses (2024) ACS Infectious Diseases, 10(9), 3158-3175, https://doi.org/10.1021/acsinfecdis.4c00108
20. Di Gianvincenzo, P., Leyes, M. F., Boonkam, K., Puentes, A. F., Reyes, S. G., Nardi, A. N., Olivieri, A., Pummarin, S., Kamonsutthipaijit, N., Amenitsch, H., Ritacco, H., D'Abramo, M., Ortore, M. G., Boonla, C., Moya, S. E. Supramolecular citrate poly allylamine hydrochloride nanoparticles for citrate delivery and calcium oxalate nanocrystal dissolution (2024) Journal of Colloid and Interface Science, 669, 667-678, https://doi.org/10.1016/j.jcis.2024.04.185 OPEN ACCESS
21. Espuche, B., Kumar, K., Moretti, P., Ortore, M. G., Ivashchenko, O., Coy, E., Amenitsch, H., Moya, S. E., Calderón, M. Core–shell nanogels with raspberry architecture and amine loading in the core via precipitation polymerization: a mechanistic study (2024) Macromolecules, 57(13), 6035-6048, https://doi.org/10.1021/acs.macromol.4c00350 OPEN ACCESS
22. Motta, A. M., Mariani, P., Itri, R., Spinozzi, F. Self-assembling properties of mono and di-rhamnolipids characterized using small-angle X-ray scattering (2024) Colloids and Surfaces B: Biointerfaces, 241, 114038, https://doi.org/10.1016/j.colsurfb.2024.114038 OPEN ACCESS
23. D'Agostino, M., Simonetti, A., Motta, S., Wolff, P., Romagnoli, A., Piccinini, A., Spinozzi, F., Di Marino, D., La Teana, A., Ennifar, E. Crystal structure of archaeal IF5A-DHS complex reveals insights into the hypusination mechanism (2024) Structure, 32(7), 878-888, https://doi.org/10.1016/j.str.2024.03.008
24. Spinozzi, F., Moretti, P., Perinelli, D. R., Corucci, G., Piergiovanni, P., Amenitsch, H., Sancini, G. A., Franzese, G., Blasi, P. Small-angle X-ray scattering unveils the internal structure of lipid nanoparticles (2024) Journal of Colloid and Interface Science, 662, 446-459, https://doi.org/10.1016/j.jcis.2024.02.076 OPEN ACCESS
25. Buco, F., Matassini, C., Vanni, C., Clemente, F., Paoli, P., Carozzini, C., Beni, A., Cardona, F., Goti, A., Moya, S. E., Ortore, M. G., Andreozzi, A., Morrone, A., Marradi, M. Gold nanoparticles decorated with monosaccharides and sulfated ligands as potential modulators of the lysosomal enzyme N-acetylgalactosamine-6-sulfatase (GALNS) (2023) Organic & Biomolecular Chemistry, 21(47), 9362-9371, https://doi.org/10.1039/D3OB01466E OPEN ACCESS
26. Chotechuang, N., Di Gianvincenzo, P., Chen, C. G., Nardi, A. N., Padró, D., Boonla, C., Ortore, M. G., D' Abramo, M., Moya, S. E. A study of cyanidin/alginate complexation: Influence of pH in assembly and chiral properties (2023) Carbohydrate Polymers, 315, 120957, https://doi.org/10.1016/j.carbpol.2023.120957
27. Falsini, S., Intiso, A., Spinozzi, F., Ristori, S., Marchettini, N., Garza-Arévalo, J. I., Prevost, S., Sanchez-Dominguez, M., Rossi, F. Physico-chemical characterization of Synperonic™ 91/5 self-assembly behaviour in water (2023) Colloids and Surfaces A: Physicochemical and Engineering Aspects, 673, 131799, https://doi.org/10.1016/j.colsurfa.2023.131799 OPEN ACCESS
28. Tanouye, F. T., Alves, J. R., Spinozzi, F., Itri, R. Unveiling protein-protein interaction potential through Monte Carlo simulation combined with small-angle X-ray scattering (2023) International Journal of Biological Macromolecules, 248, 125869, https://doi.org/10.1016/j.ijbiomac.2023.125869
29. Schmidt, P. P., Luedtke, T., Moretti, P., Di Gianvincenzo, P., Leyes, M. F., Espuche, B., Amenitsch, H., Wang, G., Ritacco, H., Polito, L., Ortore, M. G., Moya, S. E. Assembly and recognition mechanisms of glycosylated PEGylated polyallylamine phosphate nanoparticles: A fluorescence correlation spectroscopy and small angle X-ray scattering study (2023) Journal of Colloid and Interface Science, 645, 448-457, https://doi.org/10.1016/j.jcis.2023.04.136 OPEN ACCESS
30. Spinozzi, F., Barbosa, L. R., Corucci, G., Mariani, P., Itri, R. Small-angle scattering from flat bilayers containing correlated scattering length density inhomogeneities (2023) Applied Crystallography, 56(5), 1348-1360, https://doi.org/10.1107/S1600576723006143 OPEN ACCESS
31. Pepe, A., Moretti, P., Yoneda, J. S., Carducci, F., Itri, R., Mariani, P. Self-oriented anisotropic structure of G-hydrogels as a delicate balance between attractive and repulsive forces (2023) Nanoscale, 15(37), 15196-15205, https://doi.org/10.1039/D3NR01348K
32. Notarstefano, V., Belloni, A., Mariani, P., Orilisi, G., Orsini, G., Giorgini, E., & Byrne, H. J. Multivariate curve Resolution-Alternating least squares coupled with Raman microspectroscopy: new insights into the kinetic response of primary oral squamous carcinoma cells to cisplatin (2023) Analyst, 148(18), 4365-4372, https://doi.org/10.1039/d3an01182h
33. Burrelli, A., Moretti, P., Gerelli, Y., Ortore, M. G. Effects of model membranes on lysozyme amyloid aggregation (2023) Biomolecular Concepts, 14(1), 20220034, https://doi.org/10.1515/bmc-2022-0034 OPEN ACCESS
34. Paciaroni, A., Libera, V., Ripanti, F., Orecchini, A., Petrillo, C., Francisci, D., Schiaroli, E., Sabbatini, S., Gidari, A., Bianconi, E., Macchiarulo, A., Hussain, R., Silvestrini, L., Moretti, P., Belhaj, N., Vercelli, M., Roque, Y., Mariani, P., Comez, L. Spinozzi, F. Stabilization of the dimeric state of SARS-CoV-2 main protease by GC376 and nirmatrelvir (2023) International Journal of Molecular Sciences, 24(7), 6062, https://doi.org/10.3390/ijms24076062 OPEN ACCESS
35. Sguizzato, M., Pepe, A., Baldisserotto, A., Barbari, R., Montesi, L., Drechsler, M., Mariani, P. Cortesi, R. Niosomes for Topical application of antioxidant molecules: Design and in vitro behavior (2023) Gels, 9(2), 107, https://doi.org/10.3390/gels9020107 OPEN ACCESS
36. Petrucciani, A., Moretti, P., Ortore, M. G., Norici, A. Integrative effects of morphology, silicification, and light on diatom vertical movements (2023) Frontiers in Plant Science, 14, 1143998, https://doi.org/10.3389/fpls.2023.1143998 OPEN ACCESS
37. Spinozzi F., Alcaraz, J.-P., Ortore, M.G., Gayet, L., Radulescu, A., Martin, D.K., Maccarini, M. Small-Angle Neutron Scattering Reveals the Nanostructure of Liposomes with Embedded OprF Porins of Pseudomonas aeruginosa (2022) Langmuir, 38 (49), pp. 15026-15037, https://doi.org/10.1021/acs.langmuir.2c01342
38. Esposito, E., Calderan, L., Galvan, A., Cappellozza, E., Drechsler, M., Mariani, P., Pepe, A., Sguizzato, M., Vigato, E., Dalla Pozza, E., Malatesta, M. Ex Vivo Evaluation of Ethosomes and Transethosomes Applied on Human Skin: A Comparative Study (2022) International Journal of Molecular Sciences, 23 (23), 15112, https://doi.org/10.3390/ijms232315112 OPEN ACCESS
39. Ramírez, M.D.L.Á., Bindini, E., Moretti, P., Soler Illia, G.J.A.A., Amenitsch, H., Andreozzi, P., Ortore, M.G., Moya, S.E. Impact of PEGylation on the degradation and pore organization in mesoporous silica nanoparticles: A study of the inner mesoporous structure in physiologically relevant ionic conditions (2022) Colloids and Surfaces B: Biointerfaces, 219, 112797, https://doi.org/10.1016/j.colsurfb.2022.112797
40. Marega Motta, A., Donato, M., Mobbili, G., Mariani, P., Itri, R., Spinozzi, F. Unveiling the mono-rhamnolipid and di-rhamnolipid mechanisms of action upon plasma membrane models (2022) Journal of Colloid and Interface Science, 624, 579-592, https://doi.org/10.1016/j.jcis.2022.05.145
41. Romagnoli, A., Moretti, P., D'Agostino, M., Rexha, J., Perta, N., Piccinini, A., Di Marino, D., Spinozzi, F., La Teana, A. Structural–Functional Relationship of the Ribonucleolytic Activity of aIF5A from Sulfolobus solfataricus (2022) Biomolecules, 12 (10), 1432, https://doi.org/10.3390/biom12101432 OPEN ACCESS
42. Passantino, R., Mangione, M.R., Ortore, M.G., Costa, M.A., Provenzano, A., Amenitsch, H., Sabbatella, R., Alfano, C., Martorana, V., Vilasi, S. Investigation on a MMACHC mutant from cblC disease: The c.394C>T variant (2022) Biochimica et Biophysica Acta - Proteins and Proteomics, 1870 (6), 140793, https://doi.org/10.1016/j.bbapap.2022.140793
43. Malheiros, B., de Castro, R.D., Lotierzo, M.C., Casadei, B.R., Mariani, P., Barbosa, L.R.S. Influence of hexadecylphosphocholine (Miltefosine) in phytantriol-based cubosomes: A structural investigation (2022) Colloids and Surfaces A: Physicochemical and Engineering Aspects, 632, 127720, https://doi.org/10.1016/j.colsurfa.2021.127720
44. Mastrella, L., Moretti, P., Pieraccini, S., Magi, S., Piccirillo, S., Ortore, M.G. Taurine Stabilizing Effect on Lysozyme (2022) Life, 12 (1), 133, https://doi.org/10.3390/life12010133 OPEN ACCESS
45. Piccinini, A., Lourenço, E.C., Ascenso, O.S., Ventura, M.R., Amenitsch, H., Moretti, P., Mariani, P., Ortore, M.G., Spinozzi, F. SAXS Reveals the Stabilization Effects of Modified Sugars on Model Proteins (2022) Life, 12 (1), 123, https://doi.org/10.3390/life12010123 OPEN ACCESS
46. Sicurella, M., Sguizzato, M., Mariani, P., Pepe, A., Baldisserotto, A., Buzzi, R., Huang, N., Simelière, F., Burholt, S., Marconi, P., Esposito, E. Natural Polyphenol-Containing Gels against HSV-1 Infection: A Comparative Study (2022) Nanomaterials, 12 (2), 227, https://doi.org/10.3390/nano12020227 OPEN ACCESS
47. Minnelli, C., Moretti, P., Laudadio, E., Gerelli, Y., Pigozzo, A., Armeni, T., Galeazzi, R., Mariani, P., Mobbili, G. Tuning curvature and phase behavior of monoolein bilayers by epigallocatechin-3-gallate: Structural insight and cytotoxicity (2022) Colloids and Surfaces B: Biointerfaces, 209, 112171, https://doi.org/10.1016/j.colsurfb.2021.112171
48. Neira, J.L., Palomino-Schätzlein, M., Hurtado-Gómez, E., Ortore, M.G., Falcó, A. An N-terminal half fragment of the histidine phosphocarrier protein, HPr, is disordered but binds to HPr partners and shows antibacterial properties (2021) Biochimica et Biophysica Acta - General Subjects, 1865 (12), 130015, https://doi.org/10.1016/j.bbagen.2021.130015
49. Silvestrini, L., Belhaj, N., Comez, L., Gerelli, Y., Lauria, A., Libera, V., Mariani, P., Marzullo, P., Ortore, M.G., Palumbo Piccionello, A., Petrillo, C., Savini, L., Paciaroni, A., Spinozzi, F. The dimer-monomer equilibrium of SARS-CoV-2 main protease is affected by small molecule inhibitors (2021) Scientific Reports, 11 (1), 9283, https://doi.org/10.1038/s41598-021-88630-9 OPEN ACCESS
50. Andreozzi, P., Simó, C., Moretti, P., Porcel, J.M., Lüdtke, T.U., Ramirez, M.D.L.A., Tamberi, L., Marradi, M., Amenitsch, H., Llop, J., Ortore, M.G., Moya, S.E. Novel Core–Shell Polyamine Phosphate Nanoparticles Self-Assembled from PEGylated Poly(allylamine hydrochloride) with Low Toxicity and Increased In Vivo Circulation Time (2021) Small, 17 (35), 2102211, https://doi.org/10.1002/smll.202102211 OPEN ACCESS
51. Sguizzato, M., Ferrara, F., Mariani, P., Pepe, A., Cortesi, R., Huang, N., Simelière, F., Boldrini, P., Baldisserotto, A., Valacchi, G., Esposito, E. “Plurethosome” as vesicular system for cutaneous administration of mangiferin: Formulative study and 3D skin tissue evaluation (2021) Pharmaceutics, 13 (8), 1124, https://doi.org/10.3390/pharmaceutics13081124 OPEN ACCESS
52. Neira, J.L., Cámara-Artigas, A., Hernández-Cifre, J.G., Ortore, M.G. The histidine phosphocarrier kinase/phosphorylase from bacillus subtilis is an oligomer in solution with a high thermal stability (2021) International Journal of Molecular Sciences, 22 (6), 3231, 1-23, https://doi.org/10.3390/ijms22063231 OPEN ACCESS
53. Yoneda, J.S., de Araujo, D.R., Sella, F., Liguori, G.R., Liguori, T.T.A., Moreira, L.F.P., Spinozzi, F., Mariani, P., Itri, R. Self-assembled guanosine-hydrogels for drug-delivery application: Structural and mechanical characterization, methylene blue loading and controlled release (2021) Materials Science and Engineering C, 121, 111834, https://doi.org/10.1016/j.msec.2020.111834 OPEN ACCESS
54. Come, B., Donato, M., Potenza, L.F., Mariani, P., Itri, R., Spinozzi, F. The intriguing role of rhamnolipids on plasma membrane remodelling: From lipid rafts to membrane budding (2021) Journal of Colloid and Interface Science, 582, 669-677, https://doi.org/10.1016/j.jcis.2020.08.027
55. Hallan, S.S., Sguizzato, M., Drechsler, M., Mariani, P., Montesi, L., Cortesi, R., Björklund, S., Ruzgas, T., Esposito, E. Article the potential of caffeic acid lipid nanoparticulate systems for skin application: In vitro assays to assess delivery and antioxidant effect (2021) Nanomaterials, 11 (1), 171, 1-20, https://doi.org/10.3390/nano11010171 OPEN ACCESS
56. Hallan, S.S., Marchetti, P., Bortolotti, D., Sguizzato, M., Esposito, E., Mariani, P., Trapella, C., Rizzo, R., Cortesi, R. Design of nanosystems for the delivery of quorum sensing inhibitors: A preliminary study (2020) Molecules, 25 (23), 5655, https://doi.org/10.3390/molecules25235655 OPEN ACCESS
57. Spinozzi, F., Ferrero, C., Perez, S. The architecture of starch blocklets follows phyllotaxic rules (2020) Scientific Reports, 10 (1), 20093, https://doi.org/10.1038/s41598-020-72218-w OPEN ACCESS
58. Moretti, P., Mariani, P., Ortore, M.G., Plotegher, N., Bubacco, L., Beltramini, M., Spinozzi, F. Comprehensive structural and thermodynamic analysis of prefibrillar WT α-synuclein and its G51D, E46K, and A53T mutants by a combination of small-angle X-ray scattering and variational Bayesian weighting (2020) Journal of Chemical Information and Modeling, 60 (10), 5265-5281, https://doi.org/10.1021/acs.jcim.0c00807 OPEN ACCESS
59. Spinozzi, F., Ortore, M.G., Nava, G., Bomboi, F., Carducci, F., Amenitsch, H., Bellini, T., Sciortino, F., Mariani, P. Gelling without Structuring: A SAXS Study of the Interactions among DNA Nanostars (2020) Langmuir, 36 (35), 10387-10396, https://doi.org/10.1021/acs.langmuir.0c01520 OPEN ACCESS
60. Hallan, S.S., Sguizzato, M., Mariani, P., Cortesi, R., Huang, N., Simelière, F., Marchetti, N., Drechsler, M., Ruzgas, T., Esposito, E. Design and characterization of ethosomes for transdermal delivery of caffeic acid (2020) Pharmaceutics, 12 (8), 740, 1-18, https://doi.org/10.3390/pharmaceutics12080740 OPEN ACCESS
61. Sguizzato, M., Mariani, P., Spinozzi, F., Benedusi, M., Cervellati, F., Cortesi, R., Drechsler, M., Prieux, R., Valacchi, G., Esposito, E. Ethosomes for coenzyme Q10 cutaneous administration: From design to 3D skin tissue evaluation (2020) Antioxidants, 9 (6), 485, https://doi.org/10.3390/antiox9060485 OPEN ACCESS
62. Sguizzato, M., Mariani, P., Ferrara, F., Drechsler, M., Hallan, S.S., Huang, N., Simelière, F., Khunti, N., Cortesi, R., Marchetti, N., Valacchi, G., Esposito, E. Nanoparticulate gels for cutaneous administration of caffeic acid (2020) Nanomaterials, 10 (5), 961, https://doi.org/10.3390/nano10050961 OPEN ACCESS
63. Mari, E., Ricci, C., Pieraccini, S., Spinozzi, F., Mariani, P., Ortore, M.G. Trehalose effect on the aggregation of model proteins into amyloid fibrils (2020) Life, 10 (5), 60, https://doi.org/10.3390/life10050060 OPEN ACCESS
64. Neira, J.L., Ortore, M.G., Florencio, F.J., Muro-Pastor, M.I., Rizzuti, B. Dynamics of the intrinsically disordered inhibitor IF7 of glutamine synthetase in isolation and in complex with its partner (2020) Archives of Biochemistry and Biophysics, 683, 108303, https://doi.org/10.1016/j.abb.2020.108303 OPEN ACCESS
65. Baldassarri, E.J., Ortore, M.G., Spinozzi, F., Round, A., Ferrero, C., Mariani, P. K+ vs. Na+ effects on the self-assembly of guanosine 5'-monophosphate: A solution SAXS structural study (2020) Nanomaterials, 10 (4), 629, https://doi.org/10.3390/nano10040629 OPEN ACCESS
66. Sarra, A., Celluzzi, A., Bruno, S.P., Ricci, C., Sennato, S., Ortore, M.G., Casciardi, S., Del Chierico, F., Postorino, P., Bordi, F., Masotti, A. Biophysical Characterization of Membrane Phase Transition Profiles for the Discrimination of Outer Membrane Vesicles (OMVs) From Escherichia coli Grown at Different Temperatures (2020) Frontiers in Microbiology, 11, 290, https://doi.org/10.3389/fmicb.2020.00290 OPEN ACCESS
67. Gonnelli, A., Pieraccini, S., Baldassarri, E.J., Funari, S., Masiero, S., Ortore, M.G., Mariani, P. Metallo-responsive self-assembly of lipophilic guanines in hydrocarbon solvents: A systematic SAXS structural characterization (2020) Nanoscale, 12 (2), 1022-1031, https://doi.org/10.1039/c9nr08556d
68. Giorgini, E., Biavasco, F., Galeazzi, R., Gioacchini, G., Giovanetti, E., Mobbili, G., Orena, M., Ortore, M.G., Rinaldi, S., Scirè, A.A., Spinozzi, F., Tanfani, F., Vignaroli, C., Mariani, P. Synthesis, structural insights and activity of different classes of biomolecules (2020) The First Outstanding 50 Years of "Università Politecnica delle Marche": Research Achievements in Life Sciences, 463-482, https://doi.org/10.1007/978-3-030-33832-9_31
69. Singh Hallan, S., Sguizzato, M., Pavoni, G., Baldisserotto, A., Drechsler, M., Mariani, P., Esposito, E., Cortesi, R. Ellagic acid containing nanostructured lipid carriers for topical application: A preliminary study (2020) Molecules, 25 (6), 1449, https://doi.org/10.3390/molecules25061449 OPEN ACCESS
70. Amato, A., Gabrielli, F., Spinozzi, F., Magi Galluzzi, L., Balducci, S., Beolchini, F. Disaster waste management after flood events (2020) Journal of Flood Risk Management, 13 (S1), e12566, https://doi.org/10.1111/jfr3.12566 OPEN ACCESS
71. Di Silvio, D., Martínez-Moro, M., Salvador, C., de los Angeles Ramirez, M., Caceres-Velez, P.R., Ortore, M.G., Dupin, D., Andreozzi, P., Moya, S.E. Self-assembly of poly(allylamine)/siRNA nanoparticles, their intracellular fate and siRNA delivery (2019) Journal of Colloid and Interface Science, 557, 757-766, https://doi.org/10.1016/j.jcis.2019.09.082 OPEN ACCESS
72. Neira, J.L., Palomino-Schätzlein, M., Ricci, C., Ortore, M.G., Rizzuti, B., Iovanna, J.L. Dynamics of the intrinsically disordered protein NUPR1 in isolation and in its fuzzy complexes with DNA and prothymosin α (2019) Biochimica et Biophysica Acta - Proteins and Proteomics, 1867 (11), 140252, https://doi.org/10.1016/j.bbapap.2019.07.005 OPEN ACCESS
73. Vilasi, S., Carrotta, R., Ricci, C., Rappa, G.C., Librizzi, F., Martorana, V., Ortore, M.G., Mangione, M.R. Inhibition of Aβ1-42 Fibrillation by Chaperonins: Human Hsp60 Is a Stronger Inhibitor than Its Bacterial Homologue GroEL (2019) ACS Chemical Neuroscience, 10 (8), 3565-3574, https://doi.org/10.1021/acschemneuro.9b00183
74. Clemente, I., Falsini, S., Di Cola, E., Fadda, G.C., Gonnelli, C., Spinozzi, F., Bacia-Verloop, M., Grillo, I., Ristori, S. Green nanovectors for phytodrug delivery: In-depth structural and morphological characterization (2019) ACS Sustainable Chemistry and Engineering, 7 (15), 12838-12846, https://doi.org/10.1021/acssuschemeng.9b01748
75. Cortesi, R., Mariani, P., Drechsler, M., Esposito, E. Lipid-Based nanoparticles: SLN, NLC, and MAD (2019) Novel Drug Delivery Systems for Phytoconstituents, 81-102
76. Kumagai, P.S., Martins, C.S., Sales, E.M., Rosa, H.V.D., Mendonça, D.C., Damalio, J.C.P., Spinozzi, F., Itri, R., Araujo, A.P.U. Correct partner makes the difference: Septin G-interface plays a critical role in amyloid formation (2019) International Journal of Biological Macromolecules, 133, 428-435, https://doi.org/10.1016/j.ijbiomac.2019.04.105
77. Amato, A., Gabrielli, F., Spinozzi, F., Magi Galluzzi, L., Balducci, S., Beolchini, F. Strategies of disaster waste management after an earthquake: A sustainability assessment (2019) Resources, Conservation and Recycling, 146, 590-597, https://doi.org/10.1016/j.resconrec.2019.02.033
78. Andreozzi, P., Ricci, C., Porcel, J.E.M., Moretti, P., Di Silvio, D., Amenitsch, H., Ortore, M.G., Moya, S.E. Mechanistic study of the nucleation and conformational changes of polyamines in presence of phosphate ions (2019) Journal of Colloid and Interface Science, 543, 335-342, https://doi.org/10.1016/j.jcis.2019.02.040 OPEN ACCESS
79. Ricci, C., Maccarini, M., Falus, P., Librizzi, F., Mangione, M.R., Moran, O., Ortore, M.G., Schweins, R., Vilasi, S., Carrotta, R. Amyloid β-Peptide Interaction with Membranes: Can Chaperones Change the Fate? (2019) Journal of Physical Chemistry B, 123 (3), 631-638, https://doi.org/10.1021/acs.jpcb.8b11719
80. Carducci, F., Casadei, B.R., Mariani, P., Barbosa, L.R.S. X-ray characterization of pharmaceutical and cosmetic lipidic nanoparticles for cutaneous application (2019) Current Pharmaceutical Design, 25 (21), 2364-2374, https://doi.org/10.2174/1381612825666190709210211
81. Esposito, E., Sguizzato, M., Drechsler, M., Mariani, P., Carducci, F., Nastruzzi, C., Valacchi, G., Cortesi, R. Lipid nanostructures for antioxidant delivery: A comparative preformulation study (2019) Beilstein Journal of Nanotechnology, 10, 1789-1801, https://doi.org/10.3762/bjnano.10.174 OPEN ACCESS: All Open Access, Gold, Green
82. Amato, A., Becci, A., Mariani, P., Carducci, F., Ruello, M.L., Monosi, S., Giosuè, C., Beolchini, F. End-of-life liquid crystal display recovery: Toward a zero-waste approach (2019) Applied Sciences (Switzerland), 9 (15), 2985, https://doi.org/10.3390/app9152985 OPEN ACCESS
83. Nava, G., Carducci, F., Itri, R., Yoneda, J.S., Bellini, T., Mariani, P. Quadruplex knots as network nodes: nano-partitioning of guanosine derivates in supramolecular hydrogels (2019) Soft Matter, 15 (11), 2315-2318, https://doi.org/10.1039/C8SM02616E
84. Pieraccini, S., Campitiello, M., Carducci, F., Davis, J.T., Mariani, P., Masiero, S. Playing supramolecular dominoes with light: Building and breaking a photoreversible G-quadruplex made from guanosine, boric acid and an azobenzene (2019) Organic and Biomolecular Chemistry, 17 (10), 2759-2769, https://doi.org/10.1039/c9ob00193j OPEN ACCESS
85. Minnelli, C., Moretti, P., Fulgenzi, G., Mariani, P., Laudadio, E., Armeni, T., Galeazzi, R., Mobbili, G. A Poloxamer-407 modified liposome encapsulating epigallocatechin-3-gallate in the presence of magnesium: Characterization and protective effect against oxidative damage (2018) International Journal of Pharmaceutics, 552 (1-2), 225-234, https://doi.org/10.1016/j.ijpharm.2018.10.004 OPEN ACCESS
86. Esposito, E., Carducci, F., Mariani, P., Huang, N., Simelière, F., Cortesi, R., Romeo, G., Puglia, C. Monoolein liquid crystalline phases for topical delivery of crocetin (2018) Colloids and Surfaces B: Biointerfaces, 171, 67-74, https://doi.org/10.1016/j.colsurfb.2018.07.011 OPEN ACCESS
87. Rosa, R.D., Spinozzi, F., Itri, R. Hydroperoxide and carboxyl groups preferential location in oxidized biomembranes experimentally determined by small angle X-ray scattering: Implications in membrane structure (2018) Biochimica et Biophysica Acta - Biomembranes, 1860 (11), 2299-2307, https://doi.org/10.1016/j.bbamem.2018.05.011 OPEN ACCESS
88. Sinibaldi, R., Conti, A., Sinjari, B., Spadone, S., Pecci, R., Palombo, M., Komlev, V.S., Ortore, M.G., Tromba, G., Capuani, S., Guidotti, R., De Luca, F., Caputi, S., Traini, T., Della Penna, S. Multimodal-3D imaging based on μMRI and μCT techniques bridges the gap with histology in visualization of the bone regeneration process (2018) Journal of Tissue Engineering and Regenerative Medicine, 12 (3), 750-761, https://doi.org/10.1002/term.2494 OPEN ACCESS
89. Carducci, F., Yoneda, J.S., Itri, R., Mariani, P. On the structural stability of guanosine-based supramolecular hydrogels (2018) Soft Matter, 14 (15), 2938-2948, https://doi.org/10.1039/c8sm00299a
90. Piccirilli, F., Plotegher, N., Ortore, M.G., Tessari, I., Brucale, M., Spinozzi, F., Beltramini, M., Mariani, P., Militello, V., Lupi, S., Perucchi, A., Bubacco, L. High-Pressure-Driven Reversible Dissociation of α-Synuclein Fibrils Reveals Structural Hierarchy (2017) Biophysical Journal, 113 (8), 1685-1696, https://doi.org/10.1016/j.bpj.2017.08.042 OPEN ACCESS
91. Esposito, E., Sguizzato, M., Drechsler, M., Mariani, P., Carducci, F., Nastruzzi, C., Cortesi, R. Data on scaling up and in vivo human study of progesterone lipid nanoparticles (2017) Data in Brief, 14, 639-642, https://doi.org/10.1016/j.dib.2017.08.033 OPEN ACCESS
92. Esposito, E., Sguizzato, M., Drechsler, M., Mariani, P., Carducci, F., Nastruzzi, C., Cortesi, R. Progesterone lipid nanoparticles: Scaling up and in vivo human study (2017) European Journal of Pharmaceutics and Biopharmaceutics, 119, 437-446, https://doi.org/10.1016/j.ejpb.2017.07.015 OPEN ACCESS
93. Perinelli, D.R., Vllasaliu, D., Bonacucina, G., Come, B., Pucciarelli, S., Ricciutelli, M., Cespi, M., Itri, R., Spinozzi, F., Palmieri, G.F., Casettari, L. Rhamnolipids as epithelial permeability enhancers for macromolecular therapeutics (2017) European Journal of Pharmaceutics and Biopharmaceutics, 119, 419-425, https://doi.org/10.1016/j.ejpb.2017.07.011
94. Ricci, C., Carrotta, R., Rappa, G.C., Mangione, M.R., Librizzi, F., San Biagio, P.L., Amenitsch, H., Ortore, M.G., Vilasi, S. Investigation on different chemical stability of mitochondrial Hsp60 and its precursor (2017) Biophysical Chemistry, 229, 31-38, https://doi.org/10.1016/j.bpc.2017.07.008
95. Esposito, E., Drechsler, M., Mariani, P., Carducci, F., Servadio, M., Melancia, F., Ratano, P., Campolongo, P., Trezza, V., Cortesi, R., Nastruzzi, C. Lipid nanoparticles for administration of poorly water soluble neuroactive drugs (2017) Biomedical Microdevices, 19 (3), 44, https://doi.org/10.1007/s10544-017-0188-x OPEN ACCESS
96. Piccirilli, F., Plotegher, N., Spinozzi, F., Bubacco, L., Mariani, P., Beltramini, M., Tessari, I., Militello, V., Perucchi, A., Amenitsch, H., Baldassarri, E., Jr., Steinhart, M., Lupi, S., Ortore, M.G. Pressure effects on α-synuclein amyloid fibrils: An experimental investigation on their dissociation and reversible nature (2017) Archives of Biochemistry and Biophysics, 627, 46-55, https://doi.org/10.1016/j.abb.2017.06.007 OPEN ACCESS
97. Cortesi, R., Cappellozza, E., Drechsler, M., Contado, C., Baldisserotto, A., Mariani, P., Carducci, F., Pecorelli, A., Esposito, E., Valacchi, G. Monoolein aqueous dispersions as a delivery system for quercetin (2017) Biomedical Microdevices, 19 (2), 41, https://doi.org/10.1007/s10544-017-0185-0
98. Sguizzato, M., Cortesi, R., Gallerani, E., Drechsler, M., Marvelli, L., Mariani, P., Carducci, F., Gavioli, R., Esposito, E., Bergamini, P. Solid lipid nanoparticles for the delivery of 1,3,5-triaza-7-phosphaadamantane (PTA) platinum (II) carboxylates (2017) Materials Science and Engineering C, 74, 357-364, https://doi.org/10.1016/j.msec.2016.12.020 OPEN ACCESS
99. Spinozzi, F., Ceccone, G., Moretti, P., Campanella, G., Ferrero, C., Combet, S., Ojea-Jimenez, I., Ghigna, P. Structural and Thermodynamic Properties of Nanoparticle-Protein Complexes: A Combined SAXS and SANS Study (2017) Langmuir, 33 (9), 2248-2256, https://doi.org/10.1021/acs.langmuir.6b04072
100. Esposito, E., Drechsler, M., Mariani, P., Panico, A.M., Cardile, V., Crascì, L., Carducci, F., Graziano, A.C.E., Cortesi, R., Puglia, C. Nanostructured lipid dispersions for topical administration of crocin, a potent antioxidant from saffron (Crocus sativus L.) (2017) Materials Science and Engineering C, 71, 669-677, https://doi.org/10.1016/j.msec.2016.10.045 OPEN ACCESS
101. Molodenskiy, D., Shirshin, E., Tikhonova, T., Gruzinov, A., Peters, G., Spinozzi, F. Thermally induced conformational changes and protein-protein interactions of bovine serum albumin in aqueous solution under different pH and ionic strengths as revealed by SAXS measurements (2017) Physical Chemistry Chemical Physics, 19 (26), 17143-17155, https://doi.org/10.1039/c6cp08809k OPEN ACCESS
102. Battisti, A., Palumbo Piccionello, A., Sgarbossa, A., Vilasi, S., Ricci, C., Ghetti, F., Spinozzi, F., Marino Gammazza, A., Giacalone, V., Martorana, A., Lauria, A., Ferrero, C., Bulone, D., Mangione, M.R., San Biagio, P.L., Ortore, M.G. Curcumin-like compounds designed to modify amyloid beta peptide aggregation patterns (2017) RSC Advances, 7 (50), 31714-31724, https://doi.org/10.1039/c7ra05300b OPEN ACCESS
103. Sguizzato, M., Esposito, E., Drechsler, M., Gallerani, E., Gavioli, R., Mariani, P., Carducci, F., Cortesi, R., Bergamini, P. Nafion®-containing solid lipid nanoparticles as a tool for anticancer pt delivery: Preliminary studies (2017) Journal of Chemistry, 2017, 3206298, https://doi.org/10.1155/2017/3206298 OPEN ACCESS
104. Spinozzi, F., Amaral, L.Q. Pore Model in the Melting Regime of a Lyotropic Biomembrane with an Anionic Phospholipid (2016) Langmuir, 32 (50), pp. 13556-13565, https://doi.org/10.1021/acs.langmuir.6b04124
105. Ricci, C., Spinozzi, F., Mariani, P., Ortore, M.G. Protein amyloidogenesis investigated by small angle scattering (2016) Current Pharmaceutical Design, 22 (26), 3937-3949, https://doi.org/10.2174/1381612822666160519113237
106. Spinozzi, F., Mariani, P., Ortore, M.G. Proteins in binary solvents (2016) Biophysical Reviews, 8 (2), 87-106, https://doi.org/10.1007/s12551-016-0193-y OPEN ACCESS
107. Esposito, E., Ravani, L., Mariani, P., Puglia, C., Mazzitelli, S., Huang, N., Cortesi, R., Nastruzzi, C. Gelified reverse micellar dispersions as percutaneous formulations (2016) Journal of Drug Delivery Science and Technology, 32, 270-282, https://doi.org/10.1016/j.jddst.2015.06.007
108. Tardani, F., Sennato, S., Ortore, M.G. Association of DNA-Stabilized Carbon Nanotubes and Cationic Surfactants: Ionic Strength and Chain Length Effects (2016) Journal of Physical Chemistry C, 120 (5), 2941-2949, https://doi.org/10.1021/acs.jpcc.5b08669
109. Mazzoni, S., Barbosa, L.R.S., Funari, S.S., Itri, R., Mariani, P. Cytochrome-c Affects the Monoolein Polymorphism: Consequences for Stability and Loading Efficiency of Drug Delivery Systems (2016) Langmuir, 32 (3), 873-881, https://doi.org/10.1021/acs.langmuir.5b03507 OPEN ACCESS
110. Minute, F., Hellmann, N., Spinozzi, F., Ortore, M.G., Di Muro, P., Bubacco, L., Beltramini, M. Entrapment and characterization of functional allosteric conformers of hemocyanin in sol-gel matrices (2016) RSC Advances, 6 (20), 16868-16881, https://doi.org/10.1039/c5ra26377h OPEN ACCESS
111. Nicastro, M.C., Spigolon, D., Librizzi, F., Moran, O., Ortore, M.G., Bulone, D., San Biagio, P.L., Carrotta, R. Amyloid β-peptide insertion in liposomes containing GM1-cholesterol domains (2016) Biophysical Chemistry, 208, 9-16, https://doi.org/10.1016/j.bpc.2015.07.010 OPEN ACCESS
112. Ricci, C., Ortore, M.G., Vilasi, S., Carrotta, R., Mangione, M.R., Bulone, D., Librizzi, F., Spinozzi, F., Burgio, G., Amenitsch, H., San Biagio, P.L. Stability and disassembly properties of human naïve Hsp60 and bacterial GroEL chaperonins (2016) Biophysical Chemistry, 208, 68-75, https://doi.org/10.1016/j.bpc.2015.07.006
Staff
|
Prof, Paolo Mariani |
![]() |
Prof. Francesco Spinozzi |
![]() |
Prof. Maria Grazia Ortore |
![]() |
| Dr. Francesca Ripanti | ![]() |
Dr. Alessia Pepe Assegnista |
![]() |
Dr. Matteo Vercelli Dottorando |
![]() |
|
Dr. Yessica Roque Dottoranda |
![]() |
Dr. Giulia Gasperuzzo Dottoranda |
![]() |
Dr. Rodrigo Fernandes De Almeida Dottorando |
![]() |
|
Dr. Paolo Moretti Personale Tecnico |
![]() |
|
|









